- Synonyms
- MIP-1-gamma, MRP-2, Small-inducible Cytokine A9
- Source
- Escherichia coli.
- Molecular Weight
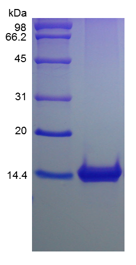
- Approximately 11.6 kDa, a single non-glycosylated polypeptide chain containing 101 amino acids.
- AA Sequence
- QITHATETKE VQSSLKAQQG LEIEMFHMGF QDSSDCCLSY NSRIQCSRFI GYFPTSGGCT RPGIIFISKR GFQVCANPSD RRVQRCIERL EQNSQPRTYK Q
- Purity
- > 95 % by SDS-PAGE and HPLC analyses.
- Biological Activity
- Fully biologically active when compared to standard. The biological activity determined by a chemotaxis bioassay using human neutrophils is in a concentration range of 0.1-10 ng/ml.
- Physical Appearance
- Sterile Filtered White lyophilized (freeze-dried) powder.
- Formulation
- Lyophilized from a 0.2 μm filtered concentrated solution in PBS, pH 7.4.
- Endotoxin
- Less than 1 EU/μg of rMuMIP-1γ/CCL9/CCL10 as determined by LAL method.
- Reconstitution
- We recommend that this vial be briefly centrifuged prior to opening to bring the contents to the bottom. Reconstitute in sterile distilled water or aqueous buffer containing 0.1 % BSA to a concentration of 0.1-1.0 mg/mL. Stock solutions should be apportioned into working aliquots and stored at ≤ -20 °C. Further dilutions should be made in appropriate buffered solutions.
- Stability & Storage
- Use a manual defrost freezer and avoid repeated freeze-thaw cycles.
- 12 months from date of receipt, -20 to -70 °C as supplied.
- 1 month, 2 to 8 °C under sterile conditions after reconstitution.
- 3 months, -20 to -70 °C under sterile conditions after reconstitution.
- Usage
- This material is offered by Shanghai PrimeGene Bio-Tech for research, laboratory or further evaluation purposes. NOT FOR HUMAN USE.
- SDS-PAGE

- Reference
- 1. Youn BS, Jang IK, Broxmeyer HE, et al. 1995. J Immunol. 155:2661-7.
2. Berahovich RD, Miao Z, Wang Y, et al. 2005. J Immunol. 174:7341-51.
3. Lean JM, Murphy C, Fuller K, et al. 2002. J Cell Biochem. 87:386-93.
- Background
- Murine CCL9/10 is belonging to the CC chemokine family. It is encoded by the gene CCL9. MRP-2 (CCL9/10) was isolated from a murine macrophage cell line, RAW 264.7. MRP-2 shows a 51 % sequence identity at the protein level to MRP-1 (C10) and 46% identity to MIP-1-alpha (CCL3). The functional receptor for CCL9/10 has been identified as CCR1. In contrast, other CCR1 ligands, CCL3/MIP-1alpha and CCL5/RANTES are considered to be primary CCR1 ligands in inflammatory responses. CCL9 can activate osteoclasts suggesting an important role for it in bone resorption. Murine CCL9/10 is 75 % amino acid identical to rat CCL9/10.
- 1冻干相关
-
+
-
一、蛋白为什么要冻干?对蛋白的影响有哪些?
蛋白质对热敏感,冻干能使蛋白质在存储过程中最大程度的保持活性,延长保存时间,同时也能降低运输成本。冻干对蛋白质的影响包括:可能造成蛋白质部分失活、聚集和其它问题。但可以通过添加保护剂,稳定剂,增溶剂,抗氧化剂和控制冻干的各种条件来尽可能降低这些负面的影响。
二、冻干前为什么向蛋白溶液中加保护剂?普欣常用的保护剂是什么?
冻干对蛋白质的活性会有一定的影响,加入保护剂可以减小这种影响,最大程度上保护蛋白的活性。通常的保护剂或稳定剂有糖类,多元醇,某些蛋白和氨基酸等。本公司常用的保护剂有:海藻糖、吐温等。
- 2物流相关
-
+
-
一、冻干形式的重组蛋白产品到货时是室温运输,说明书显示它应储存在-20ºC。这种运输方式会影响产品活性吗?
冻干粉产品在环境温度(Ambient)下运输,不会受到影响。冷冻干燥可以提高蛋白产品的稳定性,同时减少包装材料和运输费用。我们对冻干产品的运输条件进行过测试,确保产品质量。
- 3保护剂相关
-
+
-
一、什么是海藻糖(Trehalose),它在配方中起什么作用?
海藻糖是一种非还原糖,在美拉德反应中不与氨基酸或蛋白质发生反应。它存在于自然界的许多植物和动物中。海藻糖可以稳定蛋白质,防止冷冻造成的伤害,还可以使蛋白质在冻干时更耐水,从而使产品在重溶时产生沉淀的可能性降低。
二、海藻糖会影响连接反应(Conjugation)吗?
海藻糖的存在可能会干扰蛋白质的成功结合。 这将取决于连接的方法,客户最好在购买产品之前做相关研究。
三、产品标签上的“mg/g”是什么意思?
由于重组蛋白冻干前溶液中会添加保护剂或稳定剂等,所以重组蛋白的质量不一定等同于冻干粉的质量。mg/g指的是每克(g)冻干粉末中含有的重组蛋白的质量(mg)。
- 4体内实验相关
-
+
-
一、蛋白是否可用于体内实验(In vivo)?推荐浓度是多少?
我司蛋白不进行体内测试,您可以查找已验证过生物活性的蛋白,并通过查看该产品的体内应用的参考文献,来确定工作浓度。
二、如果产品包含海藻糖,体内实验(In vivo)是否会对动物产生影响?
海藻糖不太可能影响体内实验。它已被批准作为一种辅料用于人类注射药物。研发系统使用的海藻糖来自酿酒酵母,经HPAE测定,其纯度至少为98.5%。
- 5应用相关
-
+
-
一、产品可以应用于哪些方面?
本公司的产品可以按照科研领域分类,但是对其具体应用并未给出明确指导。鉴于蛋白质根据其功能可以挖掘多重应用领域及应用方法,本公司推荐客户根据文献记载进行试验,或根据科学的研究,自行挖掘其应用方法。
二、为什么有的蛋白带标签?
带标签蛋白一般是为了用于部分客户的实验要求。如His-tag和GST-tag可以使用亲和纯化层析柱纯化;与免疫球蛋白的Fc片段融合的蛋白可用于抗体研究等。
三、某些产品如1002-08的氨基酸序列,官网未显示,普欣可以提供吗?
部分产品的氨基酸序列如果在官网未显示,则有可能作为保密信息而无法提供,但部分产品可提供蛋白的Accession#和GeneID供参考。如有疑问,可以拨打客户服务热线400-821-3475。
- 6产品质量相关
-
+
-
一、蛋白如何定量的?
通常采用BCA、Bradford和OD280三种方法来定量。
二、为什么用我的定量方法测出来的结果与普欣标签上的定量不符?
采用不同的蛋白定量方法,会有不同的结果。有时候定量方法不同造成的结果差异很显著。每个检测方法都有其局限性,针对不同的蛋白,需要选择其合适的检测方法。另外,样品的稀释过程,涉及稀释方式,如高浓度直接稀释到低浓度(mg-ug-ng)会比10倍梯度稀释存在更大误差;而使用的耗材如非低吸附类(枪头、可立管等),也可能造成样品浓度偏差;由于稀释过程中会引入很多不确定因素,所以我们不建议对微量蛋白进行定量。
三、我购买了小包装冻干蛋白质,为什么收到货后只有一只空管?
与市场上的有些蛋白产品不同,本公司绝大部分的产品中不含载体蛋白或其他添加物(如牛血清白蛋白(BSA),人血清白蛋白 (HSA)和海藻糖等),并且以最低含盐量的溶液冻干。因此,微量的蛋白在冻干过程中沉积在管内,形成很薄或几乎看不见的蛋白层,甚至蛋白粉末还可能飘悬在管壁上。打开管盖前,我们建议使用离心机快速离心20-30秒,使附着在管盖或管壁的蛋白粉末聚集到管底。
- 7溶解相关
-
+
-
一、如何重溶(Reconstitute)冻干粉蛋白?
除非说明书上有更具体的说明,我们建议采用以下方式:
(1)将试剂瓶和重溶缓冲液平衡至室温。
(2)短暂离心试剂瓶以确保在小瓶底部收集所有冻干物。
(3)加入推荐的重溶缓冲液,达到产品说明上推荐的浓度。避免剧烈振荡或移液器吹打,这可能导致蛋白质变性。
(4)使试剂瓶在室温下重溶15-30分钟,可使用360度摇床或手动轻轻上下颠倒。
(5)每管体积不小于10μL分装,并按产品说明书上的指示储存。
(6)如果小瓶内呈现薄片或颗粒,则在室温下将产品混合几小时,然后在4℃过夜。
二、贵司的蛋白产品重溶浓度是多少?
您可参考产品页面“Reconstitution”部分。例如:产品cat#105-02,此产品提供的是冻干粉形式,建议重溶浓度为:在无菌蒸馏水或无菌含0.1 % BSA水溶液中重溶至0.1-1.0 mg/mL。另外我司通常推荐质量较高的BSA(高纯度,低内毒素,低脂肪酸和可用作细胞培养)。短期内使用,可以直接用无菌水溶解,如果需要分装冻存,建议加入0.1 % BSA,以避免蛋白发生降解。另外,我司亦提供部分高浓度产品,例如:cat#105-02G,此产品提供的是冻干粉形式,建议重溶浓度为:在无菌蒸馏水或无菌含0.1 % BSA水溶液中重溶至0.1-5.0 mg/mL。
- 8活性相关
-
+
-
一、如何确定蛋白活性实验参考用量?
凡经过生物活性验证的蛋白产品,在我司产品页面均有活性验证信息,客户可在生物活性(Biological Activity)一栏中查看使用的细胞类型,ED50值等信息。对于不同的蛋白产品,活性检测的方法不同。同一种蛋白产品,在不同的细胞上检测,所用的方法也是不同的。最终得到的ED50值也不同。在没有文献依据和参考用量的情况下,初次使用某种蛋白,建议您尝试浓度梯度。
二、为何ED50是一个范围?
生物活性实验是对蛋白质的生物学反应的一种测量。因此,生物活性实验中的任何变化也可能导致不同的结果。这种变化可能包括细胞密度,细胞年龄,传代数,营养状况,培养基和所用的添加剂,以及实验操作者的操作手法。由于生物活性实验的可变性,同一蛋白质在不同情况下可能不会产生相同的ED50。因此普欣的蛋白质说明书上给出ED50的范围。
三、贵司的蛋白活性是怎么测出的?
我司已经过活性验证的蛋白产品,通常会在产品页面技术参数中列出“Biological Activity”,例如:产品cat# GMP-606-09,在“Biological Activity”部分显示“活性测定为当用作细胞培养的基质时,其支持细胞附着和扩散的能力:在这个应用中,能够达到这种效果的推荐浓度通常是1-5 μg/cm²。纤维连接蛋白也可添加至培养基中促进细胞扩散,推荐浓度为0.5 ~ 50 μg/mL。
四、以ED50或units/mg标示比活性(specific activity),两者之间有什么关联,怎么换算?
半数有效浓度ED50的定义是可诱导50%最大反应的细胞因子浓度,这种活性表示法仅适用于剂量反应曲线呈S形的细胞因子。将ED50 (ng/ml)转化为比活性(units/mg)的公式为:

五、蛋白质干粉重溶时,说明书中提到用酸来溶解,会不会对蛋白质活性造成影响?用作细胞实验时,会伤害细胞吗?
蛋白质使用说明书上推荐的溶解方法,会得到最好的溶解效果,保证蛋白质活性复原最完全。在您使用过程中,此原液被稀释成工作液后,微量的酸不会对您的实验有影响。
- 9保存相关
-
+
-
一、产品如何保存?
因为产品性质不同,请仔细阅读说明书,并根据说明书描述方法,妥善存储。
- 10GMP产品相关
-
+
-
一、GMP蛋白与传统蛋白的区别是什么?
通常,GMP蛋白和传统蛋白的序列、表达系统是相同的。PrimeGene®的GMP蛋白根据ICH-Q7a Good Manufacturing Practice Guide for Active Pharmaceutical ingredients 文件的相关部分制作,具有以下优点:1. 详实的产品相关信息;2. 严格的质量管理体系;3. 批次间稳定性高;4. 无外源动物源性;5. 按客户需求,可按需提供相关法规支持文件;6. 生产设备和生产环境符合相关法规要求,符合GMP指导原则;7. 产品进行无菌检测、无支原体,HCP检测;8. 生产设备工艺及测试方法,均经过验证;9. 原材料测试及供应商资质审查;10. 完善的材料审查流程和文档化管理,生产人员资质符合法规要求。