- Synonyms
- Monokine-like Protein
- Source
- Escherichia coli.
- Molecular Weight
- Approximately 11.7 kDa, a single non-glycosylated polypeptide chain containing 103 amino acids.
- AA Sequence
- TPVVRKGRCS CISTNQGTIH LQSLKDLKQF APSPSCEKIE IIATLKNGVQ TCLNPDSADV KELIKKWEKQ VSQKKKQKNG KKHQKKKVLK VRKSQRSRQK KTT
- Purity
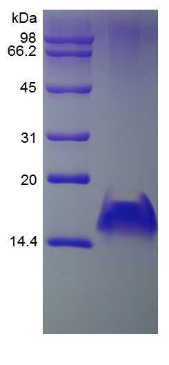
- > 97 % by SDS-PAGE and HPLC analyses.
- Biological Activity
- Fully biologically active when compared to standard. The biological activity determined by a chemotaxis bioassay using human peripheral blood T-lymphocytes is in a concentration range of 10-100 ng/ml.
- Physical Appearance
- Sterile Filtered White lyophilized (freeze-dried) powder.
- Formulation
- Lyophilized from a 0.2 μm filtered concentrated solution in 20 mM PB, pH 7.4, 50 mM NaCl.
- Endotoxin
- Less than 1 EU/μg of rHuMIG/CXCL9 as determined by LAL method.
- Reconstitution
- We recommend that this vial be briefly centrifuged prior to opening to bring the contents to the bottom. Reconstitute in sterile distilled water or aqueous buffer containing 0.1 % BSA to a concentration of 0.1-1.0 mg/mL. Stock solutions should be apportioned into working aliquots and stored at ≤ -20°C. Further dilutions should be made in appropriate buffered solutions.
- Stability & Storage
- Use a manual defrost freezer and avoid repeated freeze-thaw cycles.
- 12 months from date of receipt, -20 to -70 °C as supplied.
- 1 month, 2 to 8 °C under sterile conditions after reconstitution.
- 3 months, -20 to -70 °C under sterile conditions after reconstitution.
- Usage
- This material is offered by Shanghai PrimeGene Bio-Tech for research, laboratory or further evaluation purposes. NOT FOR HUMAN USE.
- SDS-PAGE

- Reference
- 1. Lee HH, Farber JM. 1996. Cytogenet Cell Genet. 74:255-8.
2. O'Donovan N, Galvin M, Morgan JG. 1999. Cytogenet Cell Genet. 84:39-42.
3. Tensen CP, Flier J, Van Der Raaij-Helmer EM, et al. 1999. J Invest Dermatol. 112:716-22.
- Background
- CXCL9 is a T-cell chemoattractant induced by IFN-γ belonging to the CXC chemokine family and it is also known as Monokine induced by gamma interferon (MIG). CXCL9 is closely related to two other CXC chemokines called CXCL10 and CXCL11 and they all elicit their chemotactic functions by interacting with the chemokine receptor CXCR3. CXCL9 is a cytokine that affects the growth, movement, or activation state of cells that participate in immune and inflammatory response and chemotactic for activated T-cells. Recombinant human CXCL9 contains 103 amino acids which is a single non-glycosylated polypeptide chain. The human CXCL9 shares 75 % and 67 % a.a. sequence identity with mouse and rat CXCL9.
- 1冻干相关
-
+
-
一、蛋白为什么要冻干?对蛋白的影响有哪些?
蛋白质对热敏感,冻干能使蛋白质在存储过程中最大程度的保持活性,延长保存时间,同时也能降低运输成本。冻干对蛋白质的影响包括:可能造成蛋白质部分失活、聚集和其它问题。但可以通过添加保护剂,稳定剂,增溶剂,抗氧化剂和控制冻干的各种条件来尽可能降低这些负面的影响。
二、冻干前为什么向蛋白溶液中加保护剂?普欣常用的保护剂是什么?
冻干对蛋白质的活性会有一定的影响,加入保护剂可以减小这种影响,最大程度上保护蛋白的活性。通常的保护剂或稳定剂有糖类,多元醇,某些蛋白和氨基酸等。本公司常用的保护剂有:海藻糖、吐温等。
- 2物流相关
-
+
-
一、冻干形式的重组蛋白产品到货时是室温运输,说明书显示它应储存在-20ºC。这种运输方式会影响产品活性吗?
冻干粉产品在环境温度(Ambient)下运输,不会受到影响。冷冻干燥可以提高蛋白产品的稳定性,同时减少包装材料和运输费用。我们对冻干产品的运输条件进行过测试,确保产品质量。
- 3保护剂相关
-
+
-
一、什么是海藻糖(Trehalose),它在配方中起什么作用?
海藻糖是一种非还原糖,在美拉德反应中不与氨基酸或蛋白质发生反应。它存在于自然界的许多植物和动物中。海藻糖可以稳定蛋白质,防止冷冻造成的伤害,还可以使蛋白质在冻干时更耐水,从而使产品在重溶时产生沉淀的可能性降低。
二、海藻糖会影响连接反应(Conjugation)吗?
海藻糖的存在可能会干扰蛋白质的成功结合。 这将取决于连接的方法,客户最好在购买产品之前做相关研究。
三、产品标签上的“mg/g”是什么意思?
由于重组蛋白冻干前溶液中会添加保护剂或稳定剂等,所以重组蛋白的质量不一定等同于冻干粉的质量。mg/g指的是每克(g)冻干粉末中含有的重组蛋白的质量(mg)。
- 4体内实验相关
-
+
-
一、蛋白是否可用于体内实验(In vivo)?推荐浓度是多少?
我司蛋白不进行体内测试,您可以查找已验证过生物活性的蛋白,并通过查看该产品的体内应用的参考文献,来确定工作浓度。
二、如果产品包含海藻糖,体内实验(In vivo)是否会对动物产生影响?
海藻糖不太可能影响体内实验。它已被批准作为一种辅料用于人类注射药物。研发系统使用的海藻糖来自酿酒酵母,经HPAE测定,其纯度至少为98.5%。
- 5应用相关
-
+
-
一、产品可以应用于哪些方面?
本公司的产品可以按照科研领域分类,但是对其具体应用并未给出明确指导。鉴于蛋白质根据其功能可以挖掘多重应用领域及应用方法,本公司推荐客户根据文献记载进行试验,或根据科学的研究,自行挖掘其应用方法。
二、为什么有的蛋白带标签?
带标签蛋白一般是为了用于部分客户的实验要求。如His-tag和GST-tag可以使用亲和纯化层析柱纯化;与免疫球蛋白的Fc片段融合的蛋白可用于抗体研究等。
三、某些产品如1002-08的氨基酸序列,官网未显示,普欣可以提供吗?
部分产品的氨基酸序列如果在官网未显示,则有可能作为保密信息而无法提供,但部分产品可提供蛋白的Accession#和GeneID供参考。如有疑问,可以拨打客户服务热线400-821-3475。
- 6产品质量相关
-
+
-
一、蛋白如何定量的?
通常采用BCA、Bradford和OD280三种方法来定量。
二、为什么用我的定量方法测出来的结果与普欣标签上的定量不符?
采用不同的蛋白定量方法,会有不同的结果。有时候定量方法不同造成的结果差异很显著。每个检测方法都有其局限性,针对不同的蛋白,需要选择其合适的检测方法。另外,样品的稀释过程,涉及稀释方式,如高浓度直接稀释到低浓度(mg-ug-ng)会比10倍梯度稀释存在更大误差;而使用的耗材如非低吸附类(枪头、可立管等),也可能造成样品浓度偏差;由于稀释过程中会引入很多不确定因素,所以我们不建议对微量蛋白进行定量。
三、我购买了小包装冻干蛋白质,为什么收到货后只有一只空管?
与市场上的有些蛋白产品不同,本公司绝大部分的产品中不含载体蛋白或其他添加物(如牛血清白蛋白(BSA),人血清白蛋白 (HSA)和海藻糖等),并且以最低含盐量的溶液冻干。因此,微量的蛋白在冻干过程中沉积在管内,形成很薄或几乎看不见的蛋白层,甚至蛋白粉末还可能飘悬在管壁上。打开管盖前,我们建议使用离心机快速离心20-30秒,使附着在管盖或管壁的蛋白粉末聚集到管底。
- 7溶解相关
-
+
-
一、如何重溶(Reconstitute)冻干粉蛋白?
除非说明书上有更具体的说明,我们建议采用以下方式:
(1)将试剂瓶和重溶缓冲液平衡至室温。
(2)短暂离心试剂瓶以确保在小瓶底部收集所有冻干物。
(3)加入推荐的重溶缓冲液,达到产品说明上推荐的浓度。避免剧烈振荡或移液器吹打,这可能导致蛋白质变性。
(4)使试剂瓶在室温下重溶15-30分钟,可使用360度摇床或手动轻轻上下颠倒。
(5)每管体积不小于10μL分装,并按产品说明书上的指示储存。
(6)如果小瓶内呈现薄片或颗粒,则在室温下将产品混合几小时,然后在4℃过夜。
二、贵司的蛋白产品重溶浓度是多少?
您可参考产品页面“Reconstitution”部分。例如:产品cat#105-02,此产品提供的是冻干粉形式,建议重溶浓度为:在无菌蒸馏水或无菌含0.1 % BSA水溶液中重溶至0.1-1.0 mg/mL。另外我司通常推荐质量较高的BSA(高纯度,低内毒素,低脂肪酸和可用作细胞培养)。短期内使用,可以直接用无菌水溶解,如果需要分装冻存,建议加入0.1 % BSA,以避免蛋白发生降解。另外,我司亦提供部分高浓度产品,例如:cat#105-02G,此产品提供的是冻干粉形式,建议重溶浓度为:在无菌蒸馏水或无菌含0.1 % BSA水溶液中重溶至0.1-5.0 mg/mL。
- 8活性相关
-
+
-
一、如何确定蛋白活性实验参考用量?
凡经过生物活性验证的蛋白产品,在我司产品页面均有活性验证信息,客户可在生物活性(Biological Activity)一栏中查看使用的细胞类型,ED50值等信息。对于不同的蛋白产品,活性检测的方法不同。同一种蛋白产品,在不同的细胞上检测,所用的方法也是不同的。最终得到的ED50值也不同。在没有文献依据和参考用量的情况下,初次使用某种蛋白,建议您尝试浓度梯度。
二、为何ED50是一个范围?
生物活性实验是对蛋白质的生物学反应的一种测量。因此,生物活性实验中的任何变化也可能导致不同的结果。这种变化可能包括细胞密度,细胞年龄,传代数,营养状况,培养基和所用的添加剂,以及实验操作者的操作手法。由于生物活性实验的可变性,同一蛋白质在不同情况下可能不会产生相同的ED50。因此普欣的蛋白质说明书上给出ED50的范围。
三、贵司的蛋白活性是怎么测出的?
我司已经过活性验证的蛋白产品,通常会在产品页面技术参数中列出“Biological Activity”,例如:产品cat# GMP-606-09,在“Biological Activity”部分显示“活性测定为当用作细胞培养的基质时,其支持细胞附着和扩散的能力:在这个应用中,能够达到这种效果的推荐浓度通常是1-5 μg/cm²。纤维连接蛋白也可添加至培养基中促进细胞扩散,推荐浓度为0.5 ~ 50 μg/mL。
四、以ED50或units/mg标示比活性(specific activity),两者之间有什么关联,怎么换算?
半数有效浓度ED50的定义是可诱导50%最大反应的细胞因子浓度,这种活性表示法仅适用于剂量反应曲线呈S形的细胞因子。将ED50 (ng/ml)转化为比活性(units/mg)的公式为:

五、蛋白质干粉重溶时,说明书中提到用酸来溶解,会不会对蛋白质活性造成影响?用作细胞实验时,会伤害细胞吗?
蛋白质使用说明书上推荐的溶解方法,会得到最好的溶解效果,保证蛋白质活性复原最完全。在您使用过程中,此原液被稀释成工作液后,微量的酸不会对您的实验有影响。
- 9保存相关
-
+
-
一、产品如何保存?
因为产品性质不同,请仔细阅读说明书,并根据说明书描述方法,妥善存储。
- 10GMP产品相关
-
+
-
一、GMP蛋白与传统蛋白的区别是什么?
通常,GMP蛋白和传统蛋白的序列、表达系统是相同的。PrimeGene®的GMP蛋白根据ICH-Q7a Good Manufacturing Practice Guide for Active Pharmaceutical ingredients 文件的相关部分制作,具有以下优点:1. 详实的产品相关信息;2. 严格的质量管理体系;3. 批次间稳定性高;4. 无外源动物源性;5. 按客户需求,可按需提供相关法规支持文件;6. 生产设备和生产环境符合相关法规要求,符合GMP指导原则;7. 产品进行无菌检测、无支原体,HCP检测;8. 生产设备工艺及测试方法,均经过验证;9. 原材料测试及供应商资质审查;10. 完善的材料审查流程和文档化管理,生产人员资质符合法规要求。