- Synonyms
- Hematopoietic Growth Factor KL, MGF
- Source
- Escherichia coli.
- Molecular Weight
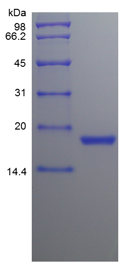
- Approximately 18.4 kDa, a single non-glycosylated polypeptide chain containing 165 amino acids.
- AA Sequence
- KGICGKRVTD DVKDVTKLVA NLPKDYKIAL KYVPGMDVLP SHCWISVMVE QLSVSLTDLL DKFSNISEGL SNYSIIDKLV KIVDDLVECT EGYSFENVKK APKSPELRLF TPEEFFRIFN RSIDAFKDLE TVASKSSECV VSSTLSPDKD SRVSVTKPFM LPPVA
- Purity
- > 96 % by SDS-PAGE and HPLC analyses.
- Biological Activity
- Fully biologically active when compared to standard. The ED50 as determined by a cell proliferation assay using human TF-1 cells is less than 2.0 ng/ml, corresponding to a specific activity of > 5.0 × 105 IU/mg.
- Physical Appearance
- Sterile Filtered White lyophilized (freeze-dried) powder.
- Formulation
- Lyophilized from a 0.2 μm filtered concentrated solution in 2 × PBS, pH 7.4.
- Endotoxin
- Less than 1 EU/μg of rCaSCF as determined by LAL method.
- Reconstitution
- We recommend that this vial be briefly centrifuged prior to opening to bring the contents to the bottom. Reconstitute in sterile distilled water or aqueous buffer containing 0.1 % BSA to a concentration of 0.1-1.0 mg/mL. Stock solutions should be apportioned into working aliquots and stored at ≤ -20 °C. Further dilutions should be made in appropriate buffered solutions.
- Stability & Storage
- Use a manual defrost freezer and avoid repeated freeze-thaw cycles.
- 12 months from date of receipt, -20 to -70 °C as supplied.
- 1 month, 2 to 8 °C under sterile conditions after reconstitution.
- 3 months, -20 to -70 °C under sterile conditions after reconstitution.
- Usage
- This material is offered by Shanghai PrimeGene Bio-Tech for research, laboratory or further evaluation purposes. NOT FOR HUMAN USE.
- SDS-PAGE

- Reference
- 1. Ronnstrand L. 2004. Cell Mol Life Sci. 61:2535-48.
2. Anderson DM, Williams DE, Tushinski R, et al. 1991. Cell Growth Differ. 2:373-8.
3. Brannan CI, Lyman SD, Williams DE, et al. 1991. Proc Natl Acad Sci U S A. 88:4671-4.
4. Okayama Y, Kawakami T. 2006. Immunol Res. 34:97-115.
- Background
- Stem Cell Factor (SCF) which binds to the c-Kit receptor is produced by fibroblasts and endothelial cells. The soluble and transmembrane forms of the protein are formed by alternative splicing of the same RNA transcript and the presence of both soluble and transmembrane SCF is required for normal hematopoietic function. SCF plays an important role in hematopoiesis, spermatogenesis and melanogenesis and it promotes mast cell adhesion, migration, proliferation, and survival. Soluble canine SCF shares 88 %, 93 %, 86 %, 83 %, 76 %, 76 %, 86 % and 88 % a.a. sequence identity with porcine, feline, bovine, human, mouse, rat, goat and equine SCF, respectively. Cells known to express SCF include endothelial cells, fibroblasts and keratinocytes .