- Synonyms
- FIL1 eta, IL-1 eta, IL-1F8, IL-1H2
- Source
- Escherichia coli.
- Molecular Weight
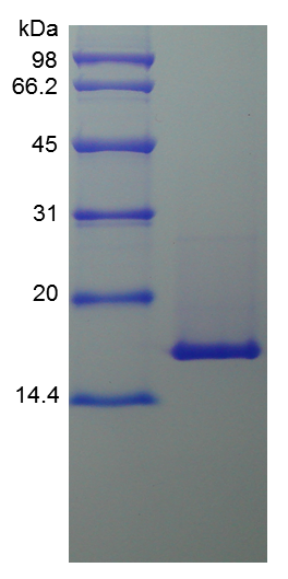
- Approximately 17.4 kDa, a single non-glycosylated polypeptide chain containing 153 amino acids.
- AA Sequence
- SSQSPRNYRV HDSQQMVWVL TGNTLTAVPA SNNVKPVILS LIACRDTEFQ DVKKGNLVFL GIKNRNLCFC CVEMEGKPTL QLKEVDIMNL YKERKAQKAF LFYHGIEGST SVFQSVLYPG WFIATSSIER QTIILTHQRG KLVNTNFYIE SEK
- Purity
- > 97 % by SDS-PAGE and HPLC analyses.
- Biological Activity
- Fully biologically active when compared to standard. The ED50 as determined by inducing IL-6 secretion in murine NIH/3T3 cells is less than 10 ng/ml, corresponding to a specific activity of > 1.0 × 105 IU/mg.
- Physical Appearance
- Sterile Filtered White lyophilized (freeze-dried) powder.
- Formulation
- Lyophilized from a 0.2 µm filtered concentrated solution in PBS, pH 7.4, 5% trehalose.
- Endotoxin
- Less than 1 EU/µg of rMuIL-36β, 153a.a. as determined by LAL method.
- Reconstitution
- We recommend that this vial be briefly centrifuged prior to opening to bring the contents to the bottom. Reconstitute in sterile distilled water or aqueous buffer containing 0.1 % BSA to a concentration of 0.1-1.0 mg/mL. Stock solutions should be apportioned into working aliquots and stored at ≤ -20 °C. Further dilutions should be made in appropriate buffered solutions.
- Stability & Storage
- Use a manual defrost freezer and avoid repeated freeze-thaw cycles.
- 12 months from date of receipt, -20 to -70 °C as supplied.
- 1 month, 2 to 8 °C under sterile conditions after reconstitution.
- 3 months, -20 to -70 °C under sterile conditions after reconstitution.
- Usage
- This material is offered by Shanghai PrimeGene Bio-Tech for research, laboratory or further evaluation purposes. NOT FOR HUMAN USE.
- SDS-PAGE

- Reference
- 1. Nicklin MJ, Barton JL, Nguyen M, et al. 2002. Genomics. 79:718-25.
2. Dinarello C, Arend W, Sims J, et al. 2010. Nat Immunol. 11:973.
3. Magne D, Palmer G, Barton JL, et al. 2006. Arthritis Res Ther. 8:R80.
4. van Asseldonk EJ, Stienstra R, Koenen TB, et al. 2010. Obesity (Silver Spring). 18:2234-6.
5. Johnston A, Xing X, Guzman AM, et al. 2011. J Immunol. 186:2613-22.
- Background
- Interleukin-36 is a pro-inflammatory cytokine which plays an important role in the pathophysiology of several diseases. IL-36α, IL-36β, and IL-36γ (formerly IL-1F6, IL-1F8, and IL-1F9) are IL-1 family members that signal through the IL-1 receptor family members IL-1Rrp2 (IL-1RL2) and IL-1RAcP. IL-36 beta is reported to be expressed at higher levels in psoriatic plaques than in symptomless psoriatic skin or healthy control skin and it can stimulate production of interleukin-6 and interleukin-8 in synovial fibrobasts, articular chondrocytes and mature adipocytes. IL-36 beta has two isoforms. IL-36β2 contains one potential N-linked glycosylation site in its C-terminus, while IL -36β isoform 1 lacks potential N-linked glycosylation sites and four of the conserved β-strands. Within the IL-1 family, IL-36β/IL-1F8 shares 30 %, 32 %, 37 %, 46 %, 34 %, 45 % and 28 % a.a. sequence identity with IL-1 ra, IL-1β, IL-36Ra/IL-1F5, IL-36α/IL-1F6, IL-37/IL-1F7, IL-36γ/IL-1F9 and IL-1F10, respectively.