- Synonyms
- IL-1F11, NF-HEV
- Source
- Escherichia coli.
- Molecular Weight
- Approximately 17.5 kDa protein containing 158 amino acid residues.
- AA Sequence
- SIQGTSLLTQ SPASLSTYND QSVSFVLENG CYVINVDDSG KDQEQDQVLL RYYESPCPAS QSGDGVDGKK LMVNMSPIKD TDIWLHANDK DYSVELQRGD VSPPEQAFFV LHKKSSDFVS FECKNLPGTY IGVKDNQLAL VEEKDESCNN IMFKLSKI
- Purity
- > 98 % by SDS-PAGE and HPLC analyses.
- Biological Activity
- Fully biologically active when compared to standard. The ED50 as determined by a cell proliferation assay using murine D10S cells is less than 0.5 ng/ml, corresponding to a specific activity of > 2.0 × 106 IU/mg.
- Physical Appearance
- Sterile Filtered White lyophilized (freeze-dried) powder.
- Formulation
- Lyophilized from a 0.2 µm filtered solution in PBS, and 1 mM EDTA.
- Endotoxin
- Less than 1 EU/µg of rMuIL-33 as determined by LAL method.
- Reconstitution
- We recommend that this vial be briefly centrifuged prior to opening to bring the contents to the bottom. Reconstitute in sterile distilled water or aqueous buffer containing 0.1 % BSA to a concentration of 0.1-1.0 mg/mL. Stock solutions should be apportioned into working aliquots and stored at ≤ -20 °C. Further dilutions should be made in appropriate buffered solutions.
- Stability & Storage
- Use a manual defrost freezer and avoid repeated freeze-thaw cycles.
- 12 months from date of receipt, -20 to -70 °C as supplied.
- 1 month, 2 to 8 °C under sterile conditions after reconstitution.
- 3 months, -20 to -70 °C under sterile conditions after reconstitution.
- Usage
- This material is offered by Shanghai PrimeGene Bio-Tech for research, laboratory or further evaluation purposes. NOT FOR HUMAN USE.
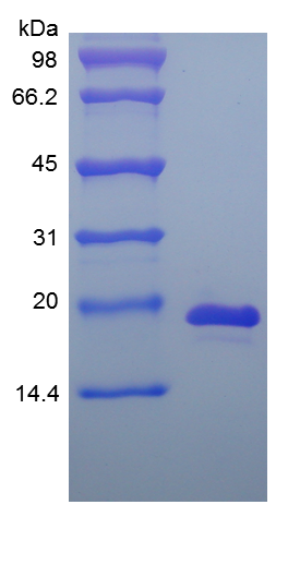
- SDS-PAGE

- Reference
- 1. Arend WP, Palmer G, Gabay C. 2008. Immunol Rev, 223: 20-38.
2. Ajdukovic J, Tonkic A, Salamunic I, et al. 2010. Hepatogastroenterology, 57: 1442-4.
3. Ho LH, Ohno T, Oboki K, et al. 2007. J Leukoc Biol, 82: 1481-90.
4. Miller AM, Xu D, Asquith DL, et al. 2008. J Exp Med, 205: 339-46.
5. Blom L, Poulsen BC, Jensen BM, et al. 2011. PLoS One, 6: e21695.
- Background
- IL-33 is a number of IL-1 superfamily, secreted by high endothelial venules at high levels, which is found in tonsils, peyer patches and mesenteric lymph nodes, but not in placenta. It elicits its biological effects by interacting with IL1RL1/ST2 and its stimulation recruits MYD88, IRAK1, IRAK4, and TRAF6, followed by phosphorylation of MAPK3/ERK1 and/or MAPK1/ERK2, MAPK14, and MAPK8. IL-33 induces production of TH2 cell related cytokines, including IL-4, IL-5 and IL-13, and exerts multiple inflammation related bioactivities. Mature IL-33 share approximately 55 % and 90 % a.a. sequence identity with human and rat IL-33 respectively.